Tin tức
NẤM SÂU RHINOSPORIDIOSIS
Do vi nấm Rhinosporidium seeberi gây ra. Bệnh có nhiều ở Tích Lan, Ấn Độ, Nam Mỹ, vùng Caribbean. Bệnh gặp nhiều ở trẻ em, người trẻ, là người có thời gian làm việc ở vùng ao tù, nước đọng, Nam > Nữ.
Bệnh cảnh viêm hạt mạn tính dẫn đến hình thành polype hay biểu hiện tăng sinh ở các màng nhầy.
- Mũi: thường gặp nhất (3/4 cases), bướu rất dễ vỡ và dễ chảy máu, bề mặt sần sùi, màu hồng hay đỏ tía. Bướu nhỏ nhưng có khi to, lú ra khỏi lổ mũi.

Hình 1: Nấm sâu Rhinosporidosis tổn thương ở mũi
- Mắt: 14% cases, bướu ở màng nhầy kết mạc, làm cộm, sợ ánh sáng, có thể làm lộn mí.
- Da: do mầm bệnh từ mũi, mắt ra da do gãi.

Hình 2: Nấm sâu Rhinosporidosis tổn thương ở da
- Một số ít thấy ở thanh quản, đầu dương vật, âm đạo, trực tràng.
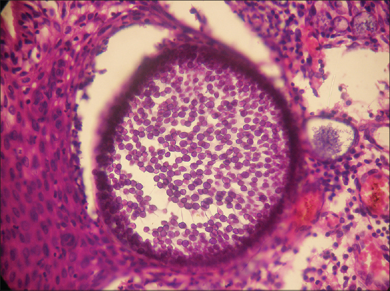
Không thể nuôi cấy được. Chẩn đoán dựa vào mô bệnh học và soi trực tiếp bệnh phẩm: có rất nhiều túi bào tử hình cầu rất lớn, đường kính 100-300µm, bên trong chứa rất nhiều bào tử đường kính 10-15µm.

Hình 3: Nấm sâu Rhinosporidosis - Mô bệnh học
Phẫu thuật cắt bỏ mô bị bệnh, nhưng thường hay tái phát. Hóa trị liệu không có hiệu quả.
I was incredibly impressed by this place. The doctor was knowledgeable and took the time to listen to my concerns. It was very clean, which is something you seldom see here, and well priced. The staff were very friendly and helpful. Everyone speaks English, so it's the perfect place to go if you want to avoid the public dermatologists and their lack of care here.
Vừa có tài vừa có tâm đó là cảm nhận ngay từ lần đầu tiên khi đến khám tại Phòng khám Da liễu Thu Hiền của Tiến sỹ Bác sỹ Thu Hiền. Mình còn giới thiệu rất nhiều người đến khám và ai cũng khỏi hoàn toàn. Cảm ơn Phòng khám Thu Hiền, cảm ơn Bác sỹ Thu Hiền rất nhiều. Không những chuyên môn giỏi, bác sỹ còn luôn có thái độ ân cần, niềm nở, tận tình với bệnh nhân.
Bác sỹ Hiền có chuyên môn sâu, tay nghề vững, luôn hết lòng vì người bệnh. Vì vậy chị luôn đưa ra phương pháp điều trị phù hợp đảm bảo chữa bệnh hiệu quả, không lạm dụng điều trị quá liều khiến chi phí chi trả không cần thiết cho người bệnh.
Ai có vấn đề về mụn có thể qua đây điều trị ạ. Bác sỹ nhiệt tình tư vấn, vui tính. Da em sau 1 tháng điều trị đã thay đổi ngoạn mục ạ.
Bác sỹ làm việc nhiệt tình, năng lực tốt. Kỹ thuật lấy nhân mụn của các chị ở đây rất ổn, nhanh, dứt khoát, không làm nốt mụn trầm trọng thêm. Nói chung là đánh giá phòng khám 5 sao.
Một Bác sỹ, một người chị rất giỏi và có TÂM. Tôi đã được bác sỹ Hiền điều trị khỏi dứt điểm bệnh dị ứng khi có bầu và đang còn cho em bé bú. Đây là địa chỉ tin cậy và an toàn với các mẹ mang thai và có trẻ nhỏ nhé. Cảm ơn chị và chúc Phòng khám được nhiều người biết đến để mọi người được gặp và khám chữa bởi bác sỹ có tài có tâm như chị!
Cảm ơn chị! Một bác sỹ nhiệt tình với bệnh nhân và đặc biệt rất có lương tâm
Absolutely incredible Dermatologist, friendly, helpful, professional staff and communication in both English and Vietnamese...Totally recommended!
Phòng khám Da liễu mình ưng ý nhất. Rất vui mừng khi lên Hà nội gặp được thầy, gặp thuốc chữa mụn mà cả da dẻ đẹp lên, đúng giá sinh viên luôn
Mình cảm thấy rất may mắn khi được gặp và điều trị bệnh tại Phòng khám Da liễu Thu Hiền. Chị Hiền không những là một bác sỹ giỏi mà còn rất nhiệt tình và tận tâm với người bệnh. Đây cũng là địa chỉ tin cậy cho những ai đang gặp vấn đề về da tìm đến. Chúc chị luôn mạnh khỏe để giúp đỡ được nhiều người bệnh. Em cảm ơn chị rất nhiều.
Em rất cảm ơn bác sỹ Thu Hiền đã tận tình tư vấn và có phác đồ điều trị bệnh hiệu quả cho em. Kính chúc bác sỹ có thật nhiều sức khỏe, thành công và hạnh phúc! Chúc phòng khám ngày càng phát triển và được nhiều người biết đến
Highly recommend this dermatologist! Each of the staff members were friendly and spoke fluent English. The Dr was amazing and answered all my questions. A consultation cost $150,000 VND, much cheaper compared to many other clinics/hospitals in Hanoi that cost around $2.5 mill VND.
Great doctor and very professional. Morever, the Dr is really attentive and listens to your problems and does her best to support and treat you. My hair is growing now 😁. Only because of her ❤️❤️❤️
Cảm ơn bác sĩ thời gian qua đã giúp e thoát khỏi khủng hoảng về da. Bác sĩ rất nhẹ nhàng nhiệt tình và tỉ mỉ với bệnh nhân. Em vô cùng biết ơn bác sĩ và dù đã hết liệu trình thuốc của bác sĩ nhưng e vẫn sẽ chăm sóc da ở nhà theo đúng bác sĩ kê. Ai mà có tình trạng xấu về da gặp bác sĩ là đẹp liền ❤️❤️❤️.